asDenticare
Home
About Us
The Practice
Staff
High Tech Equipment
Services
General Dentistry
Oral Hygiene Services
Orthodontic Treatments
Dental Implants
Facial Aesthetics
Teeth Whitening
The Hollywood Smile
Dental Emergencies
Gallery
Contact Us
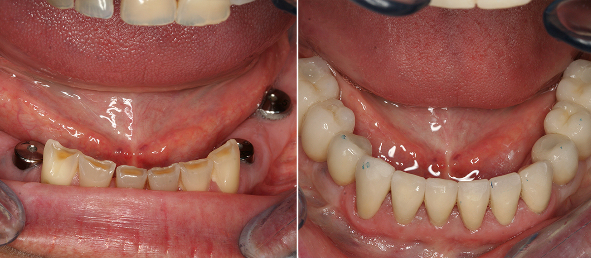
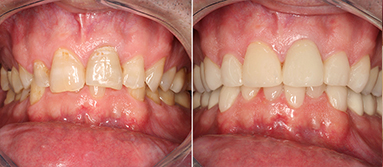
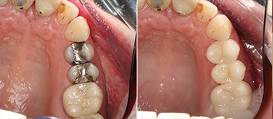
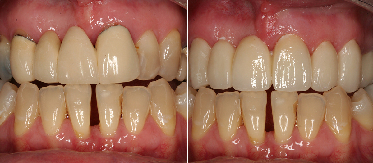
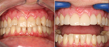
Gallery
The Practice
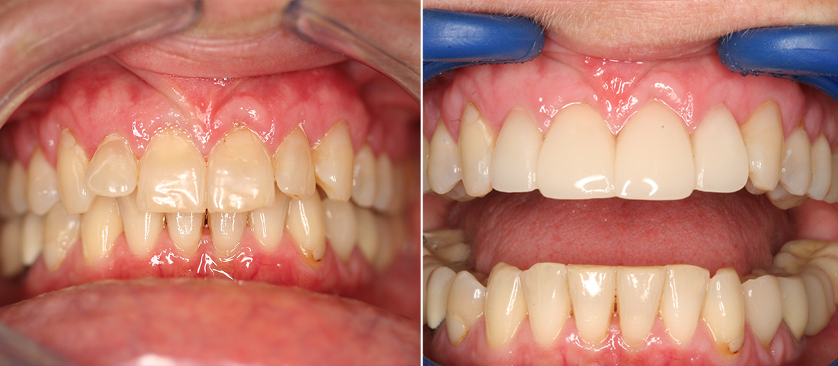
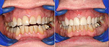
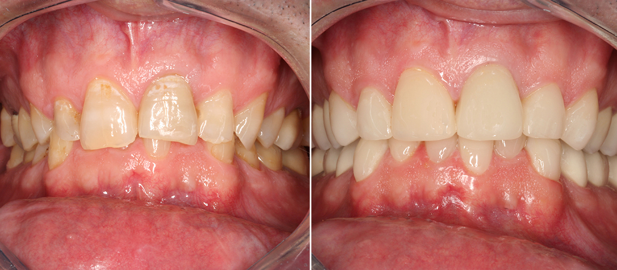
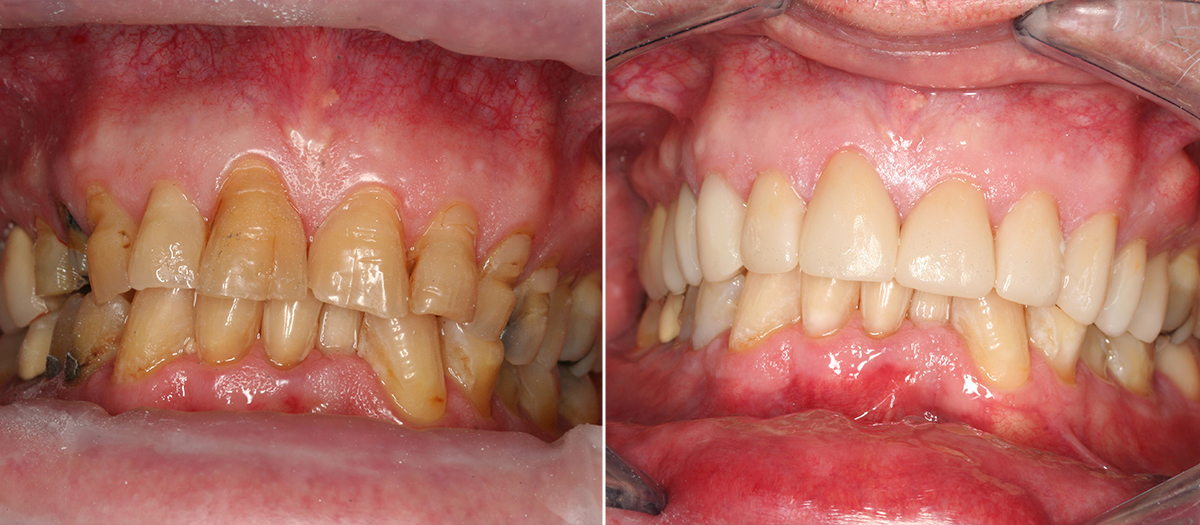
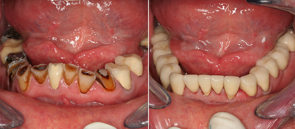
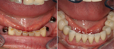
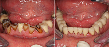
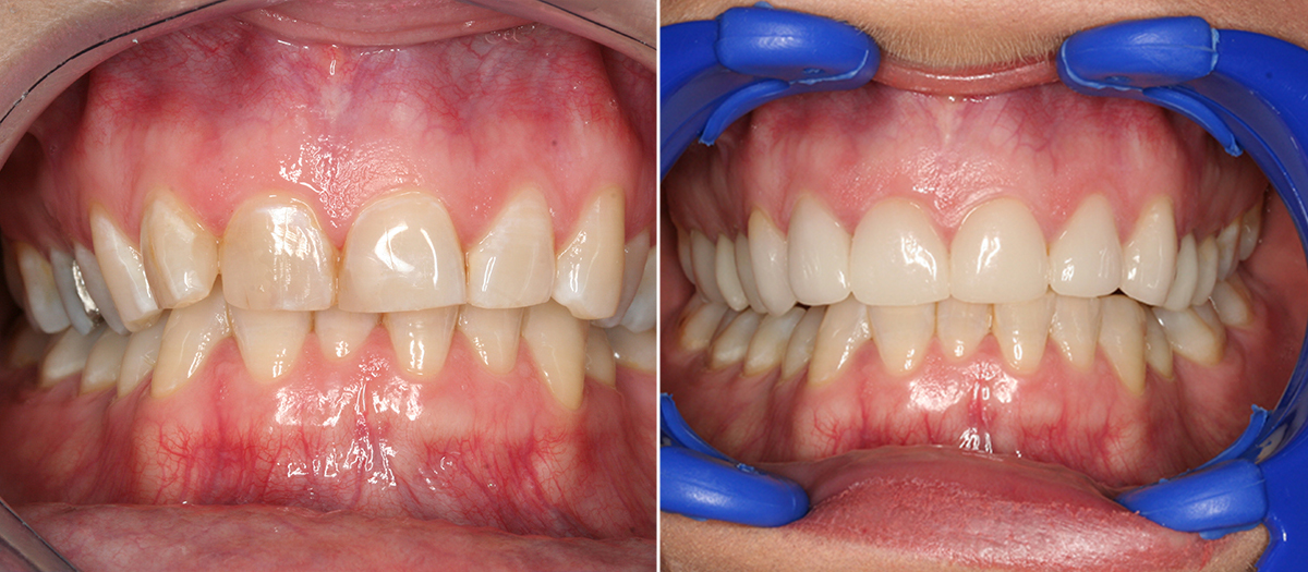
Case Studies